CELLvo™ Matrix Plus Promotes Stem Cell-Derived Cardiomyocyte Maturation
Shown above are videos of iPSC-CM monolayers in the presence of a cardiotoxic compound
A voltage sensitive dye that fluoresces when cells depolarize is used to visualize action potential propagation. Cells on Matrigel have an extended action potential relative to control condition (not shown). When seeded on CELLvo™ Matrix Plus, cells mature, and we are able to visualize an “arrhythmia-in-a-dish.” Re-entrant activation results in stable rotor formation resembling to a TdP arrhythmia in vivo.
A novel version of our matrix caused cardiomyocytes to mature, more closely mimicking heart cells in the body
Within 7 days of seeding on CELLvo™ Matrix Plus, iPSC-derived cardiomyocytes became binucleated
CELLvo™ Matrix Plus is the next generation of CELLvo™ Matrix technology. CELLvo™ matrices are the only substrates that aim to recapitulate biochemical as well as structural and mechanical cues of the native niche by leaving the extracellular matrix intact. Cell-derived matrices create a biologically-relevant culture environment for a variety of cell types by providing all the cues cells expect to receive in vivo in our culture dishes. This means that instead of responding to foreign culture conditions, cells respond to our customers’ experimental variables. Initially developed for pluripotent stem cell culture, we have subsequently discovered that CELLvo™ Matrix Plus is the ideal substrate for cardiomyocyte maturation and culture. Try CELLvo™ Matrix Plus Today!
VIDEO: Dr. Todd Herron and Dr. Travis Block discuss hiPSC-CMs expanded on CELLvo™ Matrix Plus
Todd Herron, Ph.D.*, a published expert and one of the founders of Cartox, and Travis Block, Ph.D., Chief Technology Officer of StemBioSys, discuss their recent collaborative research. Highlights of the experiment were reviewed, including successful maturation of hiPSC-CM that allows relevant testing to predict the cardiac safety of drugs in the early development stage.
Read the research reported in Nature Scientific Reports
Recently published in Nature Scientific Reports, hiPSC-CMs expanded on CELLvo™ Matrix Plus were shown to promote efficient development of highly functional, biologically-relevant human cardiomyocytes useful for predicting cardiac safety of drugs in early development. Todd Herron, Ph.D., one of the founders of Cartox, and Travis Block, Ph.D., Chief Technology Officer of StemBioSys collaborated on the research. Click on the image to download a copy of the research article.
PROTOCOL: Plating iCell Cardiomyocytes2 on CELLvo™ Matrix Plus
The recent article by Block et al. in Scientific Reports indicates that commercially available cardiomyocytes have enhanced functional and structural benefits following culture on CELLvo™ Matrix Plus plates for seven days. The matrix supports rapid functional and structural maturation of human induced pluripotent stem cell derived cardiomyocytes (hiPSC-CMs) in culture and enables high throughput cardiotoxicity screening using mature human cardiomyocytes.
This application protocol details the steps for plating iCell® Cardiomyocytes from FUJIFILM Cellular Dynamics on the CELLvo™ Matrix Plus plates.
CELLvo™ Matrix Plus supports pluripotent stem cell self-renewal in a variety of media conditions. Here we show expansion in iPSBrew (top) & StemFlex (bottom).
CELLvo™ Matrix Plus Supports iPSC Expansion
Pluripotent cell expansion can be a hassle. Pre-coated plates often have a short shelf-life, and coating wells with other products can be a challenge, especially when working with small-well formats. CELLvo™ Matrix Plus arrives in an easy-to-use format with the matrix proteins already on the surface of the dish. A brief rehydration step with PBS is the only requirement prior to seeding your cells. This eliminates potential variability from coating by hand and saves you time. In our experiments, CELLvo™ Matrix Plus supports comparable self-renewal of iPSCs relative to Matrigel, but with greater ease of use.
StemBioSys will custom coat your cell culture plates and flasks with CELLvo™ Matrix Plus. To learn more, send an email to info@stembiosys.com or call (210) 877-9323 to speak with us.
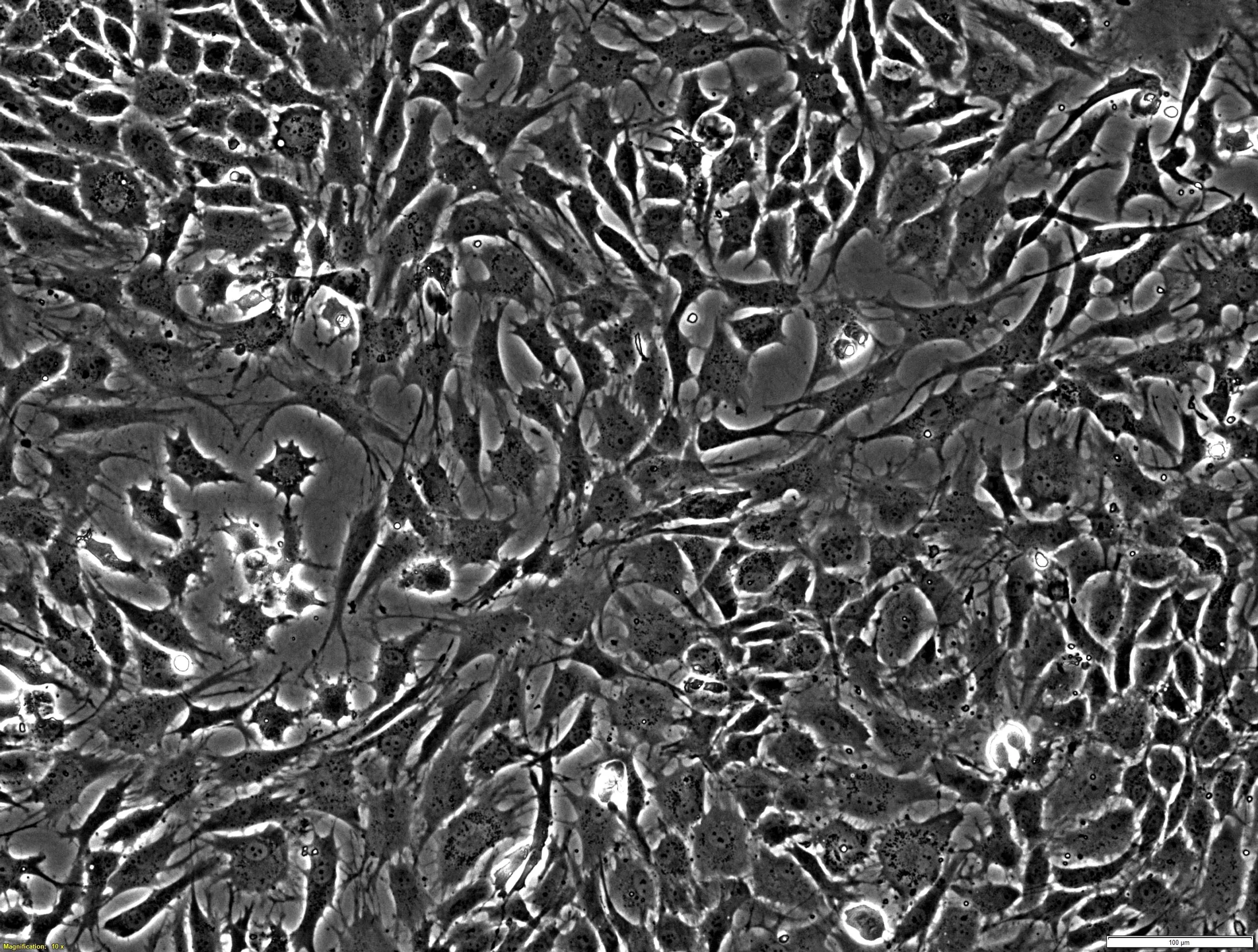
Cardiomyocytes Spontaneously Align And Show Structural Maturation
Cardiomyocyte maturation is a major obstacle to the use of iPSC-derived cardiomyocytes for basic research as well as pre-clinical drug and toxicity screening. Commercially-available iPSC-derived cardiomyocytes seeded onto CELLvo™ Matrix Plus rapidly and spontaneously align and become structurally mature. Many groups are using electrical pacing, 3-D microtissues with mechanical stimulation, or very long culture periods to achieve some degree of maturation. CELLvo™ Matrix Plus is an easy-to-use solution for cardiomyocyte maturation in 2D culture.
iPSC-derived cardiomyocytes spontaneously align and structurally mature when seeded on CELLvo™ Matrix Plus. Here, iCell Cardiomyocytes (CDI) are shown 7 days after seeding on CELLvo™ Matrix Plus.
iPSC-derived cardiomyocytes become binucleated during culture on CELLvo™ Matrix Plus.
iPSC-Derived Cardiomyocytes Become Rod-shaped and Bi-nucleated on CELLvo™ Matrix Plus
Within 7 days of seeding on CELLvo™ Matrix Plus, a large percentage of commercially-available iPSC-derived cardiomyocytes become rod-shaped and bi-nucleated. These are markers of maturation seldom seen using traditional methods.
Cellvo™ Matrix Plus Improves Self-Renewal And Differentiation Potential Of MSCs
Mesenchymal stem cells cultured on CELLvo™ Matrix Plus have improved self-renewal and differentiation potential relative to TCP. The figure on the right demonstrates this by CFU-F (colony formation), CFU-AD (adipogenic differentiation), and CFU-OB (osteogenic differentiation). Additionally, MSC proliferation is dramatically increased on CELLvo™ Matrix Plus, relative to other substrates.
Pre-expansion on CELLvo™ Matrix Plus improves self-renewal and differentiation of MSCs relative to tissue-culture plastic (TCP).
Cardiomyocytes on CELLvo™ Matrix Plus become a structurally mature monolayer after 7 days in culture.
Cardiomyocytes Form a Uniform, Structurally-Mature Monolayer after 7 Days in Culture
Cardiomyocytes form a uniform, structurally-mature, and highly-organized monolayer after 7 days in culture. Here, phalloidin staining shows the high degree of alignment of cytoskeletal components within cells and within monolayers, relative to cardiomyocytes on Matrigel. Moreover, cardiomyocytes on CELLvo™ Matrix Plus express uniformly high levels of cardiac troponin I (cTnI), relative to Matrigel. This is especially interesting considering that this gene is not expressed prenatally.
New Service!
Custom Pre-coating of Cell Culture Surfaces Saves Time, Improves Results
Apply CELLvo™ Matrix Plus or other CELLvo™ Matrices to your plates, dishes, flasks and other surfaces, and watch as cells expand and proliferate. We can coat most cell culture surfaces. Maintain protocols, assure reproducibility.
Contact us for details.
Call (210) 877-9323 or send an email to info@stembiosys.com.
Learn More about CELLvo™ Cells
CELLvo™ Cells are the only cells isolated and expanded using StemBioSys’ CELLvo™ Matrix technology. By isolating cells on a cell-derived extracellular matrix, natural phenotypes are preserved. All of our cells are early-passage and xeno-free whenever possible. We are committed to providing our customers with the best possible cells for their research. With that goal in mind, we continue to innovate and bring new cell products to the market.
